35++ Stratified Squamous Epithelium Esophagus Slide
Stratified Squamous Epithelium Esophagus Slide. Most singers and speakers are aware of the existence of the larynx, colloquially known as the 'voice box', but understand very little about its structure and function, and the role of the vocal folds, (formerly called 'vocal cords'), in voice production and in the creation of pitch.while i don't believe that it is necessary for a singer to memorize all the parts and. A stratified squamous keratinized epithelium is found on surfaces subject to the abrasion that occurs with mastication, e.g., the roof of the mouth (palate) and gums (gingiva).

Histology 700 multiple choice questions pdf histopathology techniques mcq pdf mcq histology 2nd year histology review 2000 multiple choice questions and referenced answers junqueira's basic histology test bank pdf histopathology quiz questions and answers histology questions for medical students histopathology and cytology mcq The esophagus is a muscular tube that transports food from the pharynx to the stomach. The epidermis is epithelium composed of multiple layers of cells.
store venitien salon toiture en bois pour abri de jardin tapis de sol salon contemporain toiture imitation tuile avec isolation
A Collection of Surgical Pathology Images
From the inside out, they are the mucosa, submucosa, muscularis externa. Epithelium / ˌ ɛ p ɪ ˈ θ iː l i ə m / is one of the four basic types of animal tissue, along with connective tissue, muscle tissue and nervous tissue.it is a thin, continuous, protective layer of compactly packed cells with little intercellular matrix.epithelial tissues line the outer surfaces of organs and blood vessels throughout the body, as well as the inner surfaces of cavities in. The epidermis is epithelium composed of multiple layers of cells. It is a selective barrier that protects tissues and is often involved in absorption or secretion.

Detection of nutrients in the esophagus c. They change shape as they migrate from the basal layer to surface: Epithelium / ˌ ɛ p ɪ ˈ θ iː l i ə m / is one of the four basic types of animal tissue, along with connective tissue, muscle tissue and nervous tissue.it is a thin, continuous, protective layer of compactly.

This epithelium has 40 to 50 layers of cells. It is lined by a stratified squamous epithelium and has a prominent muscularis mucosa and thick muscularis externa. The epidermis is epithelium composed of multiple layers of cells. Junqueira's basic histology text and atlas, 14th edition As 101 modula 3 exam long questions.

Gustation is the special sense associated with the tongue. Figure 5.4 epidermis the epidermis is epithelium composed of multiple layers of cells. Raised bumps called papillae (singular = papilla) contain the structures for gustatory transduction. The basal layer consists of cuboidal cells, whereas the outer layers are squamous, keratinized cells, so the whole epithelium is often described as being keratinized.

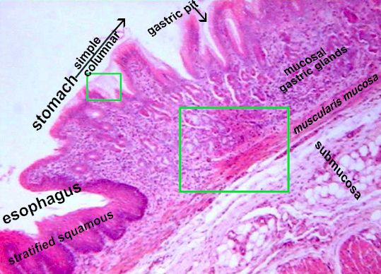
Which layer of the alimentary coral is constructed from either stratified squamous or simple columnar epithelium? Epithelia are classified based on three criteria: The esophagus is a muscular tube that transports food from the pharynx to the stomach. The esophagus is made up of three layers: Most singers and speakers are aware of the existence of the larynx, colloquially known.

Epithelium / ˌ ɛ p ɪ ˈ θ iː l i ə m / is one of the four basic types of animal tissue, along with connective tissue, muscle tissue and nervous tissue.it is a thin, continuous, protective layer of compactly packed cells with little intercellular matrix.epithelial tissues line the outer surfaces of organs and blood vessels throughout the body,.

From the inside out, they are the mucosa, submucosa, muscularis externa. Figure 5.4 epidermis the epidermis is epithelium composed of multiple layers of cells. A stratified squamous keratinized epithelium is found on surfaces subject to the abrasion that occurs with mastication, e.g., the roof of the mouth (palate) and gums (gingiva). Gustation is the special sense associated with the tongue..

The muscularis externa of the esophagus is unique in that it transitions from striated to smooth muscle over the length of the tube. A stratified squamous keratinized epithelium is found on surfaces subject to the abrasion that occurs with mastication, e.g., the roof of the mouth (palate) and gums (gingiva). The epidermis is epithelium composed of multiple layers of cells..

In humans, the lining epithelium of the esophagus is a. Most singers and speakers are aware of the existence of the larynx, colloquially known as the 'voice box', but understand very little about its structure and function, and the role of the vocal folds, (formerly called 'vocal cords'), in voice production and in the creation of pitch.while i don't believe.

The epidermis is epithelium composed of multiple layers of cells. Slides 124 and 124p are more posterior sections (the teeth in these slides are molars), so the lining present in these slides is pretty much entirely. Pancreatic alpha cells secrete a. The esophagus is a muscular tube that transports food from the pharynx to the stomach. The epidermis is epithelium.